当前位置:首页>文章中心>动态>精准医疗 | 跨省赴萍获救治 湖南重症冠心病患者在萍乡市人民医院重获

精准医疗 | 跨省赴萍获救治 湖南重症冠心病患者在萍乡市人民医院重获

发布时间:2026-04-13 点击数:11510
0


赴萍寻医

当“三支病变-前降支 cto”遭遇“主动脉夹层”,本就脆弱的心脏面临双重致命威胁,患者该何去何从?近日,来自湖南的陈先生(化名)因复杂冠心病在我院心血管病医院就诊,却在术前检查中意外发现合并主动脉夹层,病情瞬间陷入两难绝境。在这场生命保卫战中,多学科团队凭借卓越胆识与硬核实力,为患者闯出了一条重生之路。





01求医受阻,一颗“定时炸弹”悬而未决

2025年4月,陈先生因反复胸闷、气促,在外省医院接受冠脉造影,检查结果显示:三支血管严重病变,前降支慢性完全闭塞(CTO)。这是冠心病中最复杂、最危重的情况之一。

更令人担忧的是,由于冠脉病变严重,陈先生的心脏功能已受到显著影响,当时左心室射血分数(LVEF)仅为34%,远低于正常值。当地医院评估后认为介入手术难度大、风险高,最终患者未进行血运重建。


图片


此后一年多,陈先生生活质量严重受到影响,那颗未处理的“定时炸弹”始终悬在心头。



02跨省赴萍就诊 入院再遇突发险情


转机出现在今年3月。陈先生得知国内知名心血管介入专家洪浪教授已受聘为萍乡市人民医院心血管病医院院长,在复杂冠脉病变尤其是CTO介入领域享有盛誉。他毫不犹豫地从湖南奔赴萍乡。

入院后,团队迅速完善检查,准备择期手术。然而入院第二天,一个突如其来的“危急值”打破了所有计划——腹部CT高度怀疑主动脉夹层!主动脉夹层被称为“人体炸弹”,一旦破裂分分钟致命。医院立即启动应急机制,紧急请血管介入外科会诊,并同步完善胸腹部动脉CTA,最终确诊:腹主动脉、左侧髂总动脉均存在局限性夹层。


图片





03多科会诊,在刀尖上走出“最优解”

摆在医疗团队面前的,是一个两难困局:一方面,夹层随时有破裂大出血风险;另一方面,患者冠脉病变严重、左心扩大、心功能极差(复查LVEF36%,左室舒张末期内径66mm)。

若优先处理夹层,患者心功能储备极差,手术风险巨大;若进行冠脉介入,强化抗凝又会极大增加夹层破裂风险。无论哪条路,都如同在刀尖上行走。

面对这一极高危病例,医院迅速启动多学科会诊(MDT)。心血管内科、血管介入外科、重症医学科、影像科等多学科专家反复研判,最终达成共识:患者无疼痛表现,夹层考虑为陈旧性,且冠脉病变与心功能恶化是当前最紧迫的威胁,决定优先由洪浪院长亲自主刀行冠脉介入治疗,同时制定周密围手术期方案,在开通血管的同时最大限度降低夹层破裂风险。


图片





04跨越湘赣来萍就医 仁心护心不负重托

手术如期进行。导管室内,洪浪院长凭借精湛技术,带领团队成功开通了患者闭塞的前降支血管,精准植入支架,为那颗濒临衰竭的心脏重新搭建起生命“主干道”。

术后,按照MDT方案,全程严密监护,未出现夹层并发症。陈先生胸闷气促较前缓解,心功能得到改善。出院时,患者及家属由衷的向医护人员表达了感谢。


图片图片

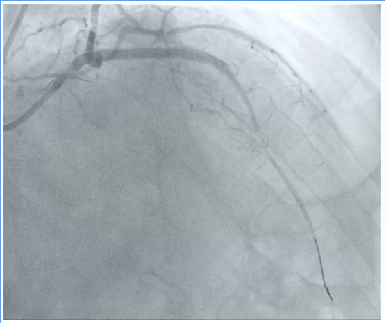
前降支CTO


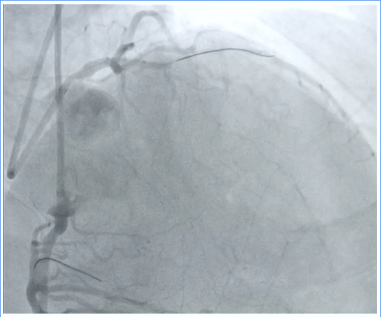
图片



扩张后造影





从湖南到萍乡,跨越两省,陈先生的选择,源于对洪浪教授及萍乡市人民医院心血管病医院技术实力的信任。这份信任,最终在一个极高危病例中结出生命硕果,也生动体现了医院多学科协作救治极高危患者的硬核实力。

目前,在洪浪院长的带领下,萍乡市人民医院心血管病医院正不断挑战技术高峰,用顶尖技术与多学科协作,为更多辗转求医无门的患者点亮生命希望之光。




专家介绍


图片


学术地位:


作为国内知名心血管病疾病专家,洪浪教授“无保护左主干合并右冠状动脉完全闭塞的介入治疗”、“全国首创CTO冠脉血管逆向微导管主动拖拽技术、“PDA封堵器堵闭漏斗部室缺”、高危复杂冠脉病变介入治疗、省内首例经皮主动脉瓣置换术+二尖瓣狭窄球囊扩张术、无导线起搏器植入术等多项技术达到国内领先水平。


学术任职:


江西省心脏介入中心主任,省卫健委“冠心病介入诊疗技术培训基地”主任、“心律失常介入诊疗技术培训基地”主任、“先心病介入诊疗技术培训基地”主任,江西省医师协会心血管分会会长,江西省医学会心脏瓣膜分会主委,江西省介入心脏病学会理事长,江西省“冠心病介入治疗质量控制中心”主任。


科研及荣誉获奖:


在国内外具有影响力期刊发表论文100余篇。先后承担省部级以上课题21项,其中国家级重大课题3项。主编专著一部,获得授权专利十项。荣获2019年江西“最美医生”称号、2022年“中国医师奖”,荣获省科技进步奖二等奖1项、省科技进步奖三等奖2项,享受省政府特殊津贴。

(编辑:李锡念)

来源:萍乡市人民医院



在线评论
用户名: 密码: 注册新会员
    在线评论用户手册,请遵纪守法并注意语言文明...
评论内容:

验证码:
验证码

查看评论
公告