萍乡市人民医院:赣西首例!微创 TAVR 术为重度主动脉瓣反流患者打开 “心” 生通道
1 厘米微创切口,成为生命延续的新入口
“现在心跳不慌了,走路也不闷气喘了!” 在我院心血管病医院的病房里,68 岁的汤爷爷(化名)紧紧握着医生的手,眼中满是重获新生的光亮。一周前,重度主动脉瓣反流如同一块沉重的巨石压在他的心脏之上,让他喘不过气。而如今,一次微创手术,为他成功换上了新的 “心门”,让生命重焕生机。
半年前,汤爷爷发现自己连日常散步都变得愈发费力。起初只是活动后气短,后来发展到半夜在睡梦中会突然憋醒,必须立刻坐起身大口喘气,那种窒息感仿佛是生命被一只无形的大手紧紧攥住。心脏超声检查,揭开了这一切的真相:他的主动脉瓣如同一扇关不严实的门,导致大量血液倒流,心脏被长期超负荷压迫而逐渐扩大。

省外知名医院心脏彩超评估结果:重度主动脉瓣关闭不全
萍乡市人民医院心脏彩超评估结果:心功能下降,左心大,重度主动脉瓣关闭不全
为了治病,汤爷爷和家人辗转于省内外多家医院,专家们都给出了外科开胸手术的建议,但传统开胸手术对于高龄且患有高血压的汤爷爷来说风险太高。这让他和家人陷入了艰难的抉择:治疗,担心身体无法承受手术的风险;不治疗,只能眼睁睁看着病情不断恶化,一步步走向心力衰竭。
01困局破局:微创 TAVR 术点亮生命曙光
“可以尝试经股动脉 TAVR(经导管主动脉瓣置换)手术。” 心血管病医院洪浪院长在仔细研究了汤爷爷的检查单后,提出了微创手术的治疗方案。这是一种无需开胸的瓣膜置换技术,仅需通过大腿股动脉的微小穿刺点,便能将新瓣膜精准送达心脏。
汤爷爷的儿子满心疑虑地反复询问:“这么小的切口,真的能解决心脏的大问题吗?”
心血管病医院的医生团队拿出模型,耐心细致地解释道:“这就好比通过门缝递进去一把新锁,精准替换掉损坏的旧锁。”
治疗方案确定后,但新的担忧又浮现 —— 汤爷爷对手术充满了恐惧。刚参加完我院叙事医学培训班的张瑶护士长,特意为汤爷爷安排了一间安静的病房,耐心倾听他的担忧和困惑,用专业的知识和温暖的话语,一点点消解了他心中的顾虑,让他最终坚定了接受手术的决心。
02精准 “换瓣”:多学科协作共筑生命防线
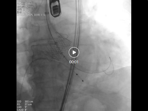
手术当天,汤爷爷清醒地躺在导管室里。这场关乎生命的手术,汇聚了多方力量 —— 心血管病医院洪浪院长团队、麻醉科李小勇主任团队、物理诊断科杨昭主任团队、介入手术室董文哲护士长团队紧密协作,在静脉麻醉后,汤爷爷在平稳的睡眠中,接受着这场生命修复手术。
手术医生首先在汤爷爷右侧大腿根部进行穿刺,成功建立起一条细微的通道。随后,在血管造影的实时导航下,被压缩的人工瓣膜顺着导管,沿着血管的天然路径,精准抵达心脏的病变位置。
洪浪教授团队手术中
“瓣膜准备释放。” 洪浪院长沉稳的声音在手术室内响起。此刻,手术室内所有医护人员都屏息凝神,目光紧紧锁定在屏幕上。人工瓣膜如同花朵般缓缓展开,完美贴合在心脏瓣膜位置。紧接着,超声检查实时确认:反流消失,新瓣膜工作状态正常!

复查造影瓣膜固定,工作良好
整个手术过程耗时不到两小时,出血量极少。术后汤爷爷回忆道:“就感觉好好睡了一觉,醒来后就听到医生说手术成功了,真的不敢相信这么快、这么顺利!”
03焕“心”前行:从病床到公园的重生之旅
术后第三天,在家人的搀扶下,汤爷爷尝试着站立。他小心翼翼地将脚放在地上,深吸一口气,惊喜地发现,那种困扰他许久的胸闷感竟然消失了。
“我终于能平躺着睡觉了!” 术后第五天,汤爷爷像个孩子般兴奋地告诉查房医生。这是他半年多以来,第一次不用再担心在睡梦中被憋醒,终于能拥有安稳的睡眠。
一周后,汤爷爷顺利出院,他凭借自己的力量走出了病区大门。如今,汤爷爷每天都会到公园散步,享受着久违的轻松惬意。“这个小小的针眼救了我的命啊!” 他常常指着大腿上那道几乎看不见的手术痕迹,向身边人感慨道。
作为赣西地区首例重度主动脉瓣反流 TAVR 手术,萍乡市心血管病医院也是省内少数能开展主动脉瓣反流TAVR手术的医院,此次手术的成功开展,不仅为汤爷爷带来了“心”生,更标志着萍乡市心血管病医院在结构性心脏病治疗领域迈上了新的台阶。截至目前,萍乡市心血管病医院已成功完成二十余例经股动脉 TAVR 手术,为众多高龄、高危主动脉瓣疾病患者提供了安全、有效的微创治疗选择。
经股动脉 TAVR 手术作为心脏瓣膜病治疗领域的重大突破,改变了传统开胸手术的恢复模式,让患者在更短的时间内重获生活质量。它的推广应用,意味着心脏瓣膜问题不再是高龄老人不可逾越的生命障碍。
温馨提示
如果您或家人出现活动后气短、夜间呼吸困难、下肢浮肿等症状,可能是心脏瓣膜出现问题的信号,建议及时到萍乡市心血管病医院就诊。早诊断、早治疗可显著改善预后,守护心脏健康!联系电话:6881070。
(编辑:李锡念)
来源:萍乡市人民医院



