当前位置:文章中心>动态
动态 教育 法治 舆情 房产 视频直播 乡村振兴 公告 领导信息 今日头条

优势技术 | 惊魂!3厘米金属铁丝穿胸入肺 市二医院胸外科微创技术巧取异物​

发布时间:2025-09-09 点击数:17889

2025年8月30日,45岁的段先生(化名)躺在萍乡市第二人民医院的病床上,回想几天前的工业意外仍心有余悸:“上班时飞轮机弹出的金属铁丝直接穿进胸口,像中了‘枪’一样,当时就感觉胸闷得喘不上气!”

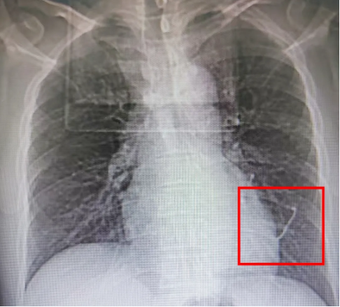
段先生是一名工业零部件加工从业者,在操作时被高速弹飞的异物刺伤左侧胸前区,随即出现剧烈胸痛、胸闷症状。同事第一时间呼叫120,将他送往附近医疗机构急救,肋骨DR检查提示“3-4肋间区域斑片状致密影”,高度怀疑金属异物刺入肺部。为求进一步救治,段先生被紧急转至市二医院急诊。

市二医院急诊科迅速响应,同步联系普、胸外科医师会诊。胸部CT检查结果跟怀疑情况基本重合:左肺下叶被金属异物完全穿透,伴周围肺挫伤,左侧胸腔积血、积气形成创伤性液气胸,3厘米长的异物嵌在肺内且紧邻心脏——一旦异物移位划伤心脏或肺组织持续出血,随时可能引发呼吸衰竭、失血性休克,情况十分危急,手术必须争分夺秒!


图片

单肺通气+单孔胸腔镜,精准清除致命异物


面对复杂凶险的病情,胸外科阳飞良、刘翔专家团队迅速集结,制定了“单肺通气全麻下胸腔镜探查术”的手术方案。胸外科阳飞良、刘翔专家团队在患者左腋中线4、5肋间做长约4cm的单孔胸腔镜切口,这样相比传统多切口手术,可大幅减少创伤,降低术后疼痛与恢复时间;再通过胸腔镜镜头,清晰观察到患者胸腔内情况:左侧胸腔积血约300ml,内侧胸壁创口仍有少量出血,左下肺背段存在明显穿透伤,3厘米长的线状金属异物嵌在肺组织内,且紧邻心脏外膜,万幸心脏外膜未见损伤。刘医生凭借丰富的胸外科手术经验,当机立断切除受损的肺组织片段(含金属异物),随后彻底清除胸腔内积血,对胸壁创口进行止血处理,全程避开心脏及周边重要血管,确保患者安全。

入体铁丝成功取出后,手术团队再次探查胸腔,确认无残留积血、无其他损伤,随后关闭手术切口,术后将患者转入病房密切监测生命体征。

微创手术 创伤快速恢复


得益于单肺通气技术对肺功能的保护及微创手术的创伤控制,段先生的术后恢复远超预期,术后第一天即可自主下地行走,胸闷、胸痛症状完全消失,复查显示右肺通气功能正常,左肺损伤区域愈合良好。

在普、胸外科医护团队的精心照料下,段先生的呼吸功能、体力状态逐步恢复,对治疗效果赞不绝口:“没想到手术恢复这么快,多亏了你们救了我一命!”目前,段先生已进入康复后期,即将顺利出院。


图片

结合此次案例,市二医院普、胸外科团队特别提醒广大市民:

1、从事工业加工、机械操作等高危行业时,务必做好防护措施,定期检查设备安全性,避免意外发生;

2、若不慎发生异物插入体内(如金属、玻璃、尖锐工具等),绝对不能自行用外力拔出——异物可能已刺破血管、脏器,盲目拔除会导致大出血或脏器二次损伤;

3、应立即拨打120,保持患者体位稳定,尽快送往具备相应救治能力的医院,由专业医师评估后制定手术方案,最大程度降低风险。

此次手术的成功,不仅体现了市二医院普、胸外科在胸外伤急救领域的技术实力,更凸显了单肺通气等先进技术在复杂手术中的核心价值。未来,市二医院将持续深耕微创技术与危急重症救治能力,为市民健康保驾护航!

专家介绍


图片

张奎林 副主任医师 普、胸外科主任。

擅长:熟练掌握普外科常见病、多发病、疑难及危重病例的诊治,擅长于肝胆外科疾病的诊治,尤其是肝癌及肝胆管结石等复杂肝胆疾病的处理。熟练掌握普外科各种常见病的腹腔镜手术治疗。

图片


阳飞良 主任医师  胸外科副主任。

擅长:擅长胸腔镜下肺癌根治、肺病损切除、纵膈肿瘤切除、食管癌手术、胸部外伤治疗等。
图片


徐和平 主治医师  普外科副主任,医学硕士。

擅长:胃肠良恶性肿瘤、肛周常见疾病、各种腹外疝的微创手术治疗和综合治疗。

(编辑:李锡念)

来源:市二医院普、胸外科  何毅豪