惊险!六旬老人高处坠落导致颈椎骨折脱位 萍乡市第二人民医院骨科实施“全麻下手法复位联合颈椎前路手术” 助力患者快速康复!
什么???
脖子断了还能复位?!
下面跟随小编的脚步,
来看看市二医院脊柱外科的妙手回春!
飞来横祸,六旬老人脊髓损伤
近日,61岁的刘伯(化名),不慎从高处坠落,当即颈部剧痛,颈部活动严重受限,合并有四肢肌力减退,其中右上肢不能抬起,双手活动无力。在当地医院CT检查提示存在颈椎骨折脱位,因伤情急重复杂,刘伯及家属慕名立刻转来萍乡市第二人民医院脊柱外科就医。


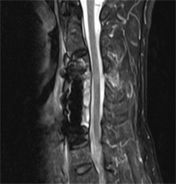
术前
精准施治,解除“致命危机”
市二医院脊柱外科完善相关检查之后诊断为“颈椎骨折脱位合并脊髓损伤,不完全性瘫痪”。该患者第3颈椎骨折伴有双侧关节突脱位交锁,颈椎移位直接压迫脊髓导致不完全性瘫痪,属于颈椎损伤中的严重类型。因颈椎骨折脱位的节段高,如不能迅速复位解除颈髓的压迫并恢复颈椎稳定性,则会导致患者瘫痪症状加重甚至危及生命。
患者的急危病情就是医生的战斗号角,入院后脊柱外科立即对刘伯实施严格的颈椎制动保护、消除颈髓水肿治疗等规范处置。医疗护理团队迅速组织病情及手术方案讨论,认为患者颈椎脱位极度不稳且颈髓受压严重,病情随时可能加重,需尽快解除颈髓受压以恢复颈椎稳定性,给患者创造颈髓恢复条件,手术指征明确。由于患者颈3骨折脱位伴双侧关节突交锁,预估常规颅骨持续牵引复位成功性不高,牵引过程中有可能加重颈髓损伤。如选择实施“颈椎后路+前路联合手术”则损伤大、风险高、手术时间长、术后康复慢,医疗费用高昂患者难以承担,后期颈项部往往遗留慢性疼痛等症状。经过饶放萍主任医师等专家团队的充分讨论,决定采用“全麻下颈椎脱位手法复位+前路颈4、5椎体次全切减压、植骨融合内固定”手术方案。
患者完善术前准备后,手术由刘辉主任医师主刀、熊志鹏副主任协助。术中全麻后颈椎脱位经手法复位完全纠正,前路椎体次全切除后脊髓减压充分,融合器及内固定装置植入标准,颈椎稳定性恢复可靠。手术用时仅1小时,出血仅50毫升,组织损伤小,手术顺利完成!
术后在进行常规治疗的同时结合快速康复理念,邀请康复医学科早期介入,为刘伯制定“一对一”的功能康复方案。术后第3天刘伯就可下床步行活动,经过近10天专业的综合治疗后,刘伯四肢肌力基本恢复正常,双手活动良好。出院时刘伯开心的说道:“感谢脊柱外科全体医护,正是因为有你们这样医术精湛的骨科专家,有二医院这样为民服务的公立医院,我才能重获正常生活!”


术后
关于颈椎骨折的小知识
颈椎骨折脱位是由于直接或间接暴力所致的颈椎椎体、危机椎弓、关节突等的骨折以及外伤性脱位,多属不稳定性骨折,是一类较严重的损伤。骨折与脱位可单独出现,也可合并出现,常伴有压迫脊髓和脊神经根损伤。其临床表现有颈部疼痛、活动障碍等,严重者会伴有脊髓损伤,瘫痪甚至危及生命的可能。一般通过影像学检查即可确诊。
主要治疗方法包括药物治疗、手术治疗、牵引、固定、康复治疗等。无神经症状者经过积极治疗,一般预后较好;合并脊髓损伤者,往往需要手术治疗,通过及时手术治疗可改善症状、防止并发症出现、最大限度促进功能康复、提高生活质量,亦可取得较好的预后。
颈椎骨折脱位手术治疗原则是复位、稳定脊柱、对脊髓压迫进行充分减压。任何环节的缺陷都将影响其恢复,造成不可逆的功能丧失,甚至危及生命。
萍乡市第二人民医院脊柱外科主任高勇表示,对类似刘伯这类复杂脊柱脊髓损伤的治疗,脊柱外科团队积累了丰富的经验,并将先进的脊柱外科理论、微创精准的外科操作技术、术后快速康复理念有机结合,大大降低了手术创伤和风险、提高了治疗效果,为脊柱脊髓损伤患者的功能康复提供了有力的专业技术保障!
专家介绍

刘辉 脊柱外科专家,主任医师
中华医学会江西省骨科分会第八届委员、江西省骨科分会脊柱脊髓学组委员、江西省研究型医院学会骨科脊柱微创分会委员、江西省整合医学骨科创伤专委会委员、江西省预防医学会骨与关节病预防与控制专委会委员。
擅长脊柱内镜、通道下腰椎融合、经皮椎体成形等各类脊柱微创手术。率先开展颈椎前路椎体次全切融合固定术、颈1.2椎弓根钉内固定术、脊柱椎管内肿瘤切除椎板原位再植术等高精尖手术。
饶放萍 脊柱外科专家,主任医师,骨科业务主任
江西省医学会骨科分会关节学组委员、江西省研究型医院学会骨科脊柱分会委员、萍乡市医学会骨科分会常委等。
擅长各种脊柱疾病的诊断及手术治疗,在本地区率先自主开展各种颈胸椎手术,已完成各类脊柱手术一千余例。在关节疾病及创伤骨科的诊疗方面造诣深厚。
出诊时间:每周二全天
出诊地点:门诊二楼 219室
高勇 脊柱外科专家,副主任医师,骨一科主任
中国医药教育协会肿瘤疑难诊断与治疗学专业委员会全国委员、江西省医师协会骨科医师分会青年委员、江西省康复医学会脊柱脊髓损伤专业委员会委员等。
擅长于四肢关节及骨盆创伤的急救、诊断及治疗,对骨科复杂创伤和骨病的手术治疗具有丰富经验,对老年骨质疏松性骨折、骨肿瘤的诊治有较深造诣。对脊柱外伤骨折脱位、椎间盘突出及椎管狭窄、滑脱等疾病临床诊疗的功底深厚。
出诊时间:每周一、三上午
出诊地点:门诊二楼 219室
熊志鹏 主治医师,骨一科副主任
硕士研究生,江西省骨质疏松性骨折防治联盟委员。曾在南昌一附院进修学习骨科先进技术。
擅长颈腰椎间盘突出、脊柱骨折脱位等各种脊柱疾病和损伤的诊断及手术治疗,善于脊柱内镜、经皮椎体成形等各类脊柱微创手术。
(编辑:李锡念)
来源:萍乡市第二人民医院