萍乡市人民医院:“单孔”赋能极致微创!保留正常脾脏组织 成功切除11cm脾脏肿瘤
腹腔镜手术,大家肯定都了解过
也被越来越多地运用到各种手术之中
但单孔腹腔镜手术
大家可能了解得并不多
完整切除巨大肿瘤的同时,
又能精准保留健康组织,
经“肚脐眼”小孔取出肿瘤标本,
实现了“超微创、保功能、快康复”的诊疗目标。
患者术后恢复快,疼痛感近乎为零
次日即下床活动,早期拔除引流管
最大限度保留脏器功能,守护免疫力
更令人意想不到的是
脾脏,最为“脆弱”的器官之一
也能做到
“极 致 微 创”
“单孔超微创技术”:腹腔镜脾部分切除术
脾脏是一个脆弱的器官,经常容易发生破裂,而且血供丰富,紧邻重要血管,手术难度极高。萍乡市人民医院普通外科一科(肝胆胰外科)肖振亮专家团队大年初七收治了一位“脾脏巨大肿瘤”的患者,顺利进行“单孔”手术,在元宵节前康复出院。患者及家属对手术效果赞不绝口!

技术亮点
1、“超微创”精准操作;
2、保留脾脏功能,守护免疫力;
3、术后恢复快,疼痛感近乎为零;
4、攻坚高难度,技术获认可。
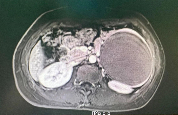
患者是一位42岁姓张的女士,过年期间进行体检时,发现脾脏一巨大肿瘤,CT提示肿瘤接近11cm,巨大的肿瘤压迫血管,需要尽快手术治疗。患者及家属辗转考虑了省外多家大型三甲医院,已经了解到做手术势在必行。
张女士迫切希望能够保留脾脏功能。在充分了解萍乡市人民医院腹腔镜微创技术实力后,经过与家人商量,联系到该院肝胆胰外科肖振亮主任,希望尽快安排手术。
入院后完善术前相关检验检查,经专家团队充分讨论评估,结合患者及家属诉求,决定行单孔腹腔镜下脾部分切除术。这个手术只需要通过肚脐上的小孔,就可以完整切除脾脏,创伤更小,恢复更快,并且伤口隐藏在肚脐内,真正实现手术方式的极致微创。
术前影像资料

精准取出脾脏巨大肿瘤
经过评估考虑脾脏良性肿瘤,肖振亮专家团队凭借丰富的腹腔镜经验与精细解剖技术,采用脾脏部分切除术式,在彻底清除病灶的同时,最大限度保留正常脾脏组织,避免全脾切除后免疫力下降风险,为患者远期健康护航。术后病理证实为良性肿瘤。
得益于单孔技术的微创优势,患者术后没有使用止痛药物,清醒后即可进食,术后5天拔除脾窝引流管,1周即达到出院标准。“从发现肿瘤到手术完成,整个过程比想象中轻松太多了!术后几乎感觉不到疼痛,第二天就能自己走路,医生护士的细心照顾让我们全家都特别感动!”患者张女士感慨道。
单孔腹腔镜脾切除术
术后腹部切口隐蔽
脐部切口与皮肤天然褶皱重合,左侧腹针尖大小切口
专家提醒:
脾脏肿瘤绝大多数为良性肿瘤,<5cm的脾脏良性肿瘤建议定期随访,若出现进行性增大、出血、感染应及时就诊。萍乡市人民医院肝胆胰外科目前已常规开展单孔腹腔镜胆囊切除术,并将该技术应用于肝脏及脾脏等复杂肝胆胰手术领域,单孔腹腔镜技术为罹患肝胆胰脾疾病患者提供了更加微创、更加精准、更加舒适的治疗选择。
(编辑:李锡念)
来源:萍乡市人民医院