萍乡市第二人民医院骨科微创多样化 Wiltse肌间隙入路成功治疗复杂脊柱骨折 助力患者加速康复
最近,萍乡市第二人民医院骨一科接诊了一位腰椎椎体爆裂性骨折患者,在骨一科团队的共同努力下,成功实施了经Wiltse肌间隙入路钉棒复位内固定术。手术非常顺利,术后仅一周时间,患者就可在医护人员和家属帮助下下床活动,极大地缩短了患者卧床时间,助力患者加速康复。现患者病情好转,已平稳出院。
2024年12月中旬,唐女士不慎从8米高处坠落,紧急被救护车送至医院。入院时,唐女士情况危急,剧烈的疼痛让她面色苍白、冷汗淋漓,双下肢感觉及肌力明显减退,当时患者和家属都很绝望。市二医院迅速启动创伤急救绿色通道,多学科救治专家团队快速运作起来。经过心电监护、持续氧气吸入、多个通道输液、伤口止血、躯体保暖等迅速有效的抢救,患者很快转入重症医学科(ICU)。
经全面而细致的检查,结果提示:腰 1 椎体爆裂骨折(Chance骨折)。此类骨折为脊椎骨三柱骨折,属于极不稳定骨折,且该患者骨折块椎管内占位,有双下肢瘫痪症状;治疗难度高、风险大,对手术精准度要求极高,稍有不慎就可能影响患者日后的肢体功能恢复,甚至造成终身残疾。
3天后,患者被送入骨一科病房继续治疗。手术该怎么做呢?选择哪种方式呢?面对这一严峻挑战,市二医院骨科专家团队仔细阅读各种影像资料,结合患者症状、体征,经过严谨的术前讨论,与家属详细沟通后,为患者量身定制了全麻下行 Wiltse 肌间隙入路钉棒复位内固定的手术方案。
手术当日,在麻醉科的全力支持下,以主任医师饶放萍为主的骨一科医师团队凭借精湛的技术和丰富的经验,熟练地运用 Wiltse 肌间隙入路技术,巧妙避开重要神经、血管组织,精准地置入钉棒进行复位内固定。在团队的紧密协作下,术中出血仅 30ml,极大减少了患者的创伤应激反应,为术后快速康复奠定了坚实基础。
术后,骨一科医护团队对患者精心护理,密切监测生命体征、预防感染、指导康复训练等。令人欣喜的是,在医护团队的悉心照料下,唐女士恢复状况良好,术后仅一周便能下床活动,重新迈出了走向健康生活的坚定步伐。当看到唐女士脸上逐渐绽放的笑容,唐女士家属眼中满是感激:“真的没想到能恢复得这么快,市二医院的医生太厉害了,给了她第二次生命,让我们一家又看到了希望。”

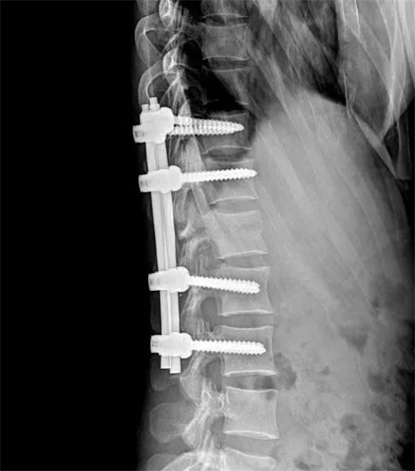
术前

术后
胸腰椎爆裂性骨折是骨科的急诊范畴,其预后取决于损伤的严重程度和治疗效果,手术时机的选择、术前评估及方案预定对手术成功与否至关重要。近年来,市二医院骨科团队在脊柱爆裂性骨折的诊疗方面积累了丰富的经验,能够为萍城百姓提供精准及个性化的治疗。日后,市二医院骨科将继续秉持救死扶伤的初心,不断精进技术、提升医疗服务质量,为更多患者点亮生命之光!
专家介绍
刘辉 脊柱外科专家,主任医师
中华医学会江西省骨科分会第八届委员、江西省骨科分会脊柱脊髓学组委员、江西省研究型医院学会骨科脊柱微创分会委员、江西省整合医学骨科创伤专委会委员、江西省预防医学会骨与关节病预防与控制专委会委员。
擅长:脊柱内镜、通道下腰椎融合、经皮椎体成形等各类脊柱微创手术。率先开展颈椎前路椎体次全切融合固定术、颈1.2椎弓根钉内固定术、脊柱椎管内肿瘤切除椎板原位再植术等高精尖手术。

饶放萍 脊柱外科专家,主任医师,科室业务主任
江西省医学会骨科分会关节学组委员、江西省研究型医院学会骨科脊柱分会委员、萍乡市医学会骨科分会常委等。
擅长:各种脊柱疾病的诊断及手术治疗,在本地区率先自主开展各种颈胸椎手术,已完成各类脊柱手术一千余例。在关节疾病及创伤骨科的诊疗方面造诣深厚。
出诊时间:每周二下午
出诊地点:门诊二楼 219室

高勇 脊柱外科专家,副主任医师,科室主任
中国医药教育协会肿瘤疑难诊断与治疗学专业委员会全国委员、江西省医师协会骨科医师分会青年委员、江西省康复医学会脊柱脊髓损伤专业委员会委员等。
擅长:四肢关节及骨盆创伤的急救、诊断及治疗,对骨科复杂创伤和骨病的手术治疗具有丰富经验,对老年骨质疏松性骨折、骨肿瘤的诊治有较深造诣。对脊柱外伤骨折脱位、椎间盘突出及椎管狭窄、滑脱等疾病临床诊疗的功底深厚。
出诊时间:每周一、三上午
出诊地点:门诊二楼 219室
黄河 副主任医师
南昌大学医学院研究生,江西省研究型医院学会骨科学分会青年委员,江西省骨质疏松骨折防治联盟委员,曾先后在南昌大学第二附属医院、无锡手外科医院进修学习。
擅长:脊柱方面相关疾病的诊断及治疗。
(编辑:李锡念)
来源:萍乡市第二人民医院